Written By: Chloe Wilson BSc(Hons) Physiotherapy
Reviewed By: FPE Medical Review Board

A dancers fracture is a specific type of break in one of the outer foot bones.
Sudden twisting or rolling of the foot can fracture the fifth metatarsal, the long bone on the outer side of the foot.
Dancer’s fractures are commonly associated with performers and athletes, but can affect anyone.
In most cases, these fractures can be treated with a combination of rest, immobilisation, medication, and rehab exercises, but occasionally surgery is recommended.
There are lots of different types of fifth metatarsal fractures that occur in different parts of the bone. Dancer’s fractures tend to be a diagonal break in the middle part of the metatarsal bone.
Here we will look at what a Dancers Fracture is, the common causes and symptoms, how they are diagnosed and the best treatment options.
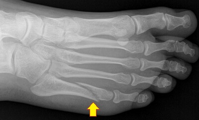
A dancer’s fracture is an oblique (diagonal) break in the shaft of the fifth metatarsal.

The fifth metatarsal is the long bone on the outer side of the foot that connects the little “pinky” toe to the mid-foot.
A dancers fracture generally affects the mid-portion of the metatarsal bone, but may extend to the head and neck.
The break usually runs diagonally along the shaft and may spiral and rotate through the bone.
In some cases, small fragments of bone will break off from the shaft, known as a comminuted fracture. There may also be some displacement, where the fractured ends of the bone move out of alignment.
This type of injury often occurs during a sudden twisting motion or an awkward landing where the foot bears an unusual force. It is frequently seen in dancers, which is how the condition got its name, but it can occur in anyone involved in high-impact activities.
There are a number of different types of fifth metatarsal fracture, all of which are slightly different:

Due to its location along the shaft, a dancer’s fracture generally has a better blood supply compared to a Jones fracture, which facilitates faster healing.
Proper treatment is critical to avoid complications such as delayed healing or chronic foot pain.
Common causes of dancers fractures include:
Symptoms of a dancer’s fracture may overlap with other foot injuries, so proper diagnosis is key. Common signs of dancers fractures include:
Accurate diagnosis of a dancers fracture is essential to distinguish it from other injuries and to ensure appropriate treatment.
Your doctor will start by taking a history, asking you questions about how you injured your foot and your current symptoms. They will want to know if it is limiting any of your normal activities and what things make the pain better or worse. They will also ask about previous foot problems and any other medical conditions.
They will then carry out a physical examination of your foot, checking for pain, swelling, and tenderness along the outer side of the foot. They will look at the range of motion and strength in your foot and ankle and will have a look at your walking to determine the extent of the injury.
If they suspect a fifth metatarsal fracture, they will send you for imaging tests. X-rays are the most commonly used diagnostic tool used for dancers fractures and will confirm the location, extent and any displacement of the fracture. In some cases, you may be sent for an MRI or CT scan, usually if it is a complex fracture or there is associated soft tissue damage.
There are a number of other types of foot injury that present in a similar way to a dancers fracture:
#CommissionEarned from Amazon on qualifying purchases
Dancers fracture treatment depends on the severity and alignment of the fracture, but in most cases the fracture is stable and can be treated conservatively
A walking boot or short-leg cast is used to stabilize the foot to allow the bone to heal in the correct position. Immobilization after a dancers fracture typically lasts 4–6 weeks until there is evidence on x-ray that the broken parts of the bone are knitting back together.
Weight-bearing on the affected foot is often restricted initially, so you will need to use crutches. Usually you will be able to put some weight through the foot, but with severe fractures, you may need to be non-weight bearing initially.

Keeping the foot elevated whenever you are sitting helps to reduce swelling.
Excess fluid is common after a fracture and it tends to pool in the foot due to gravity.
Resting with your leg elevated, ideally with your foot higher than the level of your heart will help the fluid to drain away from the foot. Either prop your leg on a pillow or use a special leg elevation cushion – these are particularly useful in bed
Over-the-counter pain relievers, e.g. paracetamol/acetaminophen and non-steroidal anti-inflammatories e.g. ibuprofen/Advil can help manage discomfort and swelling with a dancers fracture.
Once healing progress, you can start putting more weight through your foot, and wean off the crutches. After around 6 weeks will be able to transition from your cast or walking boot to a stiff soled shoe. Always follow the advice of your doctor or physical therapist.
Surgery may be necessary if the fracture is significantly displaced, does not align properly or fails to heal with conservative care. Surgical options involve internal fixation, where screws, plates, or wires are used to realign and stabilize the bone.
Physical therapy is usually recommend, with or without surgery, to regain strength and mobility in the foot after surgery. It is common for the ankle to get slightly stiff and weak following a few weeks of immobilization so strengthening exercises, ankle mobility and calf stretches are important for regain full function after a dancers fracture.
Recovery from a dancer’s fracture depends on the severity of the injury and adherence to the treatment plan. A typical dancers fracture recovery time line is:
It can take 6-12 months to make a full recovery from a dancers fracture, the most persistent symptom being mild ongoing swelling. Long-term issues are extremely rare.
A dancer’s fracture, an oblique break in the shaft of the fifth metatarsal, is a common foot injury caused by twisting, awkward landings, or trauma.
Symptoms include localized outer foot pain, swelling, and difficulty walking, which can be effectively diagnosed through physical examination and imaging.
In most cases, dancers fractures heal well with non-surgical treatment like immobilization and rest, but surgery may be necessary for severe or displaced fractures.
Proper treatment and rehabilitation ensure a successful recovery, allowing individuals to return to their usual activities without long-term complications. If you suspect a dancer’s fracture, seeking prompt medical attention is crucial for a smooth recovery.
You may also be interested in the following articles:
Page Last Updated: 27th November, 2025
Next Review Due: 27th November, 2027