Written By: Chloe Wilson BSc(Hons) Physiotherapy
Reviewed By: FPE Medical Review Board

A Jones Fracture is a type of foot fracture.
It occurs when there is a break in a specific part of the fifth metatarsal bone – the long bone on the outer side of the foot.
Jones Fractures are common in athletes and active individuals but can occur in anyone. They typically occur when the foot forcefully bends and twists inwards, particularly when on tiptoes.
It causes pain, swelling, bruising and difficulty walking and there may be a lump on the outside of the foot. Complications such as slow healing are common due to lack of blood flow to the area.
Here we will look at what a Jones Fracture is, where it occurs, common causes and symptoms and the best treatment options.
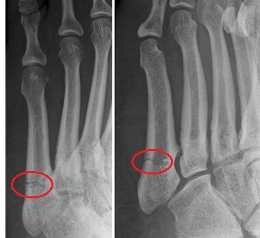
A Jones fracture is a break located in the fifth metatarsal – the long bone that connects the pinky toe to the midfoot. It occurs in a specific area of the bone, between the middle and the proximal end of the fifth metatarsal (close to the midfoot), and is named after Sir Robert Jones, who first described this injury in 1902.
It helps to understand a little about foot anatomy as there are lots of different types of fifth metatarsal fracture, depending on where exactly the break occurs.
The fifth metatarsal can be thought of as having different areas:

The base or proximal part of the metatarsal, is where the bone joins the midfoot. The base is subdivided into 3 different zones
The metatarsal shaft is the long, middle section of the bone. Fractures here may be Dancer’s fractures or stress fractures.
The metatarsal head is the top part of the bone, nearest the toes. Fractures here are known as metatarsal head fractures.
Jones Fractures occur in zone 2, a specific area of the bone which has a particularly poor blood supply, known as a vascular watershed. This limited circulation means Jones fractures can be notoriously slow to heal and are often associated with problems such as non-union (30-50% of cases) and re-fracture (33% of cases).
Distinguishing a Jones fracture from other types of fifth metatarsal fractures is critical because treatment approaches differ significantly due to the poor blood supply. Jones fractures are regarded as the most serious type of fifth metatarsal fracture due to the high risk of delayed union or non-union.
Common causes of Jones fractures are:
Common symptoms of a Jones fracture may include:
It’s important to differentiate these symptoms from other foot injuries like ankle sprains or avulsion fractures, as misdiagnosis can delay appropriate treatment.
To accurately diagnose a Jones Fracture, you healthcare provider will start by taking a history to find out about your symptoms. They will want to know about how and when the pain started, what aggravates or eases your symptoms, any previous foot injuries and underlying medical conditions.

They will also carry out a physical examination, inspecting your foot for any areas of tenderness or bruising, looking at your foot movements and assessing your strength, function and balance.
If they suspect a Jones Fracture, they will send you for imaging studies such as an x-ray, MRI or CT scan of the foot.
These will help to show any damage to the bones or soft tissues, the extent of the damage, and any associated injuries so they can determine the best course of treatment.
There are a few other injuries that present in a similar way to Jones fractures:
It is really important to have an accurate diagnosis for outer foot pain as they all require different treatment.
Jones fracture treatment depends on the severity and type of fracture as well as the activity levels of the individual.
#CommissionEarned from Amazon on qualifying purchases
Non-surgical treatment is typically reserved for less severe fractures, individuals with low activity levels, or elderly patients who are at high risk of complications from surgery.
Jones fracture surgery is usually recommend for athletes, if there is significant displacement of the bones (more than 3mm) or in the case of delayed healing or non-union.
The bones are realigned into the correct position and then fixed in place while the fracture heals. The bones may be fixed with:
If a Jones fracture is severely displaced or in cases of delayed healing or non-union, a bone graft may be used. This is where the damaged fragments of bone are removed and replaced with transplanted bone tissue to stabilise the fracture. The bone may come from another part of your body e.g. hip, a donor or the surgeon may use an artificial replacement piece.
Once the bone graft is in position, the fracture site will usually be stabilised with one of the internal fixation methods above while the bone heals.

Jones fracture surgery is usually performed as a day-case meaning you don’t have to stay in hospital overnight. You will need to wear a cast or boot initially and may need crutches in the short term while the fracture heals.
Depending on the type of surgery you may need to limit how much weight can go through your foot for up to 8 weeks, typically non-weight bearing for 1-3 weeks then partial weight bearing for a few weeks.
In most cases, the metal work is left in situ, but if it starts to cause any pain, it can be removed once the fracture has healed.
Most people make a full recovery from a Jones fracture, but it can take time.
You should have follow-up appointments every 2-3 weeks where your doctor will reassess the foot and check fracture healing using x-rays. This will continue until you can walk unaided without any pain and radiographs show complete healing of the fracture.
You can usually resume weight-bearing activities within 6–8 weeks and then gradually increase your activity levels. It usually takes 3-4 months to return to all your normal activities including sports following surgery, but often takes longer (4-6 months) without non-surgical treatment.
Physical therapy is an important part of the Jones fracture recovery, with or without surgery, and rehabilitation will focus on exercises to improve
Swimming are cycling are good places to start for regaining cardiovascular fitness as they place minimal impact through the foot. Athletes may require additional time and training before returning to high-impact sports.
Surgery typically results in faster Jones fracture recovery time and a reduced risk of non-union and re-injury. However, it carries risks such as infection, hardware irritation, or nerve damage. Re-injury risk is high with non-surgical treatment - up to 33% will re-fracture.
Most people with a Jones fracture make a full recovery, but the timeframe will depend on age, normal activity levels, co-morbidities and treatment. Swelling may persist for up to 12 months.

What Are The Jones Fracture Classification Types?
Jones fractures can be classified into three different types:
What Are The Long-Term Effects Of Jones Fracture?
Most people will make a full recovery within 3-6 months of a Jones fracture but there can be ongoing problems. There is a high risk of delayed union or non-union, with Jones fractures, particularly when they are treated conservatively. There is also a 33% risk of re-fracture.
Ongoing pain is a common problem with non-union, and can also occur following Jones fracture surgery is the screw shifts out of place, in which case the screw will be removed.
Jones vs Dancers Fracture
A Jones fracture occurs in the base of the fifth metatarsal, specifically in zone 2, the area between the metatarsal shaft and the tuberosity. Surgery is typically the treatment of choice with a Jones fracture as the poor blood supply often causes delayed healing or non-union.
A Dancer’s fracture occurs in the middle part of the fifth metatarsal bone, the shaft. Surgery is much less common with Dancer’s fractures. The symptoms will be similar for both. Avulsion fractures at the base of the fifth metatarsal are often incorrectly referred to as Dancer’s fractures.
A Jones fracture is a unique and often challenging foot injury that requires timely diagnosis and appropriate treatment.
While healing can be prolonged due to limited blood supply, modern techniques and therapies have significantly improved outcomes for patients with Jones fractures.
Jones fracture symptoms typically comprise of outer foot pain, swelling and bruising, difficulty walking and ongoing symptoms.
Most cases of Jones fractures are treated with surgery, typically internal fixation with metal screws due to improved outcome measures. With or without surgery, weight-bearing is often limited initially and you will need to wear a cast or boot for a few weeks while the fracture heals.
There are lots of other types of fifth metatarsal fracture – it is important to get an accurate diagnosis to ensure you get the right treatment.
You may also be interested in the following articles
Page Last Updated: 2nd December, 2024
Next Review Due: 2nd December, 2026