Written By: Chloe Wilson BSc(Hons) Physiotherapy
Reviewed By: FPE Medical Review Board

A Pseudo Jones fracture, aka avulsion fracture, is a common foot injury.
These fractures occur at the base of the fifth metatarsal, the long bone on the outer side of the foot.
Pseudo Jones fractures typically result from sudden twists, rolls or impacts to the ankle or foot. They cause outer foot pain and swelling and often interfere with daily activities such as walking.
Despite being the most common type of fifth metatarsal fracture, they usually heal well with simple treatment. Occasionally, surgery may be required.
Here we will look at what a Pseudo Jones fracture is, the common causes and symptoms, how avulsion fractures are diagnosed, the best treatment options and the recovery process.
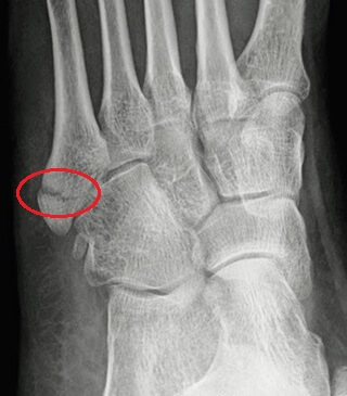
A Pseudo Jones fracture is an avulsion fracture that occurs when a small piece of bone is pulled away from the base of the fifth metatarsal.

The fifth metatarsal is the long bone on the outer side of the foot that connects the mid-foot to the pinky toe.
At the base of the fifth metatarsal is an area known as the tuberosity, a bony prominence on the outside of the foot. The peroneus brevis tendon attaches directly to the tuberosity.
If the foot or ankle is suddenly forced inwards, it pulls on the peroneus brevis tendon. If the force is strong enough, the tendon is torn away from the tuberosity, pulling a small fragment of bone with it. This is known as an avulsion fracture foot or Pseudo Jones fracture.
The injury is often confused with a true Jones fracture, which occurs slightly further along the bone and has more serious implications due to limited blood flow in that area. However, avulsion fractures typically heal faster because the affected area has a good blood supply.
Pseudo Jones fractures may also be incorrectly referred to as a Dancer’s Fracture, but these also occur further down the fifth metatarsal and are treated slightly differently.
Fifth metatarsal avulsion fractures are commonly caused by:
Fifth metatarsal avulsion fractures are especially common in athletes and individuals engaging in high-impact activities.
Avulsion fractures are the most common type of fracture of the fifth metatarsal. Approximately 68% of all metatarsal fractures occur in the fifth metatarsal of which 90% are Pseudo Jones fractures.
Common symptoms of a Pseudo Jones fracture are:

A Pseudo Jones fracture can often be mistaken for other types of foot injury, such as a true Jones fracture or a severe ankle sprain, so accurate diagnosis is essential.
Differentiating a Pseudo Jones fracture from other foot injuries is critical, as they will have different treatments and healing outcomes. There are a number of other injuries that can present in a similar way to an avulsion fracture foot:
Pseudo Jones fractures generally heal well with non-surgical treatment due to the area’s good blood supply.
Treatment of a Pseudo Jones fracture typically involves:
Most people recover well from a Pseudo Jones fracture, getting back to normal activities of daily living within 6–8 weeks, but this may vary depending on the severity of the fracture and individual healing capacity.
Athletes or individuals returning to high-impact activities may require additional time to regain full functionality. It may take 3-4 months to get back to your pre-injury level.
There is often some debate as to the difference between a Pseudo Jones fracture and a true Jones fracture. It all comes down to the location of the injury.

The base of the fifth metatarsal can be divided into different zones.
Pseudo Jones avulsion fractures occur in the zone 1 region, at the proximal end of the metatarsal base.
They may or may not extend to the articular surface – if they do they are known as an intra-articular fracture.
A true Jones fracture occurs in the zone 2 region, slightly further down the bone, an area known as the proximal diaphysis. Jones fractures never extend to the articular surface, they are always extra-articular.
The main difference between the two zones is the blood supply. Zone 1 has a strong blood supply which allows for efficient and effective healing. Zone 2 however is an area with very limited blood supply, known as a watershed area, so healing from a Jones fracture is often delayed and there is a high incident of non-union. This is why Jones fractures are much more likely to require surgical intervention than a Pseudo Jones fracture.
A Pseudo Jones fracture, or avulsion fracture of the fifth metatarsal, is a relatively minor but painful injury that typically results from rolling the ankle or direct trauma. It is less severe than a true Jones fracture and has a better healing prognosis due to its location in a well-vascularized area.
With appropriate treatment, such as immobilization, rest, gradual weight-bearing and physical therapy, most people recover within a few weeks without long-term complications.
If you suspect a Pseudo Jones fracture, prompt diagnosis and treatment are key to ensuring a smooth recovery and preventing further injury.
You may also be interested in the following articles:
Page Last Updated: 28th November, 2024
Next Review Due: 28th November, 2026