Written By: Chloe Wilson BSc(Hons) Physiotherapy
Reviewed By: FPE Medical Review Board

A lump on the heel of the foot is a common problem that can cause pain and affect daily life.
There are a number of possible causes for lumps and bumps on the heel of the foot.
There may be some abnormal bone growth, inflammation or fluid build-up, a mass or a benign tumor.
In most cases, a bump on the heel of the foot is nothing to worry about and will settle down with simple treatment, but any new growth should always be checked out by your doctor.
Here we will look at the different causes of a lump on the heel of the foot, how to work out what one you have and then go on to look at how to treat them. If you are more bothered by pain than swelling, check out the Heel Pain article.
A lump on the heel of the foot may be caused by:
Let's start by looking at the most common types of bumps on the heel, the causes and symptoms of each and how to work out what is causing your heel lump. We will then go on to look at the different treatment options for lumps on the heel of the foot.

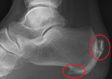
The most common cause of a hard lump on the back of the heel is a Haglund's Deformity, aka Posterior Heel Spur or Pump Bump.
Heel spurs develop when extra layers of bone form on the heel due to a build-up of calcium deposits. This is usually in response to repetitive or excessive friction or stress on the bone.
There are a number of things that can cause a Haglund's Deformity lump on the heel of the foot including:
Haglund's deformity bone spur lumps on the heel of the foot often cause problems when walking and can be quite uncomfortable when wearing shoes.
Treatment for a painful hard lump on the heel from a Haglund's bone spur usually involves a combination of exercises, orthotics, lifestyle changes e.g. footwear, medication and in some cases surgery.
Bone spurs can also develop underneath the heel, known as inferior heel spurs. They are typically associated with plantar fasciitis and can cause a hard bump underneath the heel. Due to the surrounding soft tissues, you might not be able to feel the bump itself but it can irritate the surrounding soft tissues causing inferior heel pain.
To find out more about these hard lumps in the heel of the foot, including causes, symptoms, diagnosis and treatment, check out the Heel Bone Spurs article.
The most common cause of a soft lump on the heel of the foot is heel bursitis.

There are a couple of small fluid-filled sacs known as bursa at the back of the heel:
The purpose of the heel bursa is to reduce friction through the achilles tendon, but if there is too much pressure or friction on either bursa then they start to swell.
With heel bursitis, there tends to be a defined pocket of swelling towards the top of the heel. The inflamed bursa is often tender to touch and gets worse with any pressure through the back of the heel e.g. wearing shoes.
A bursitis lump on the heel of the foot typically develops gradually, slowly increasing in size over the course of a few weeks or even months. It is typically caused by repetitive activities e.g. jumping and running, particularly if you suddenly increase your activity levels. Muscle tightness, tight footwear, and certain medical conditions also increase the risk of developing heel bursitis.
Treatment for a bursitis posterior heel lump focuses on reducing pressure and tension through the bursa so that the inflammation can settle. A combination of rest, ice, medication, orthotics and exercises usually works well, but some people may require steroid injections or surgery if their bump on the heel of the foot won’t settle.
Find out more about the common causes, symptoms and treatment options for bursitis lumps on the heel of the foot in the Heel Bursitis article.
Another really common cause of a painful lump on the back of the heel is Achilles tendonitis. The Achilles tendon connects the calf muscle to the heel bone and is very prone to inflammation.
Achilles tendonitis can develop in a couple of different locations by the heel:

Achilles tendonitis usually develops due to a combination of overuse, overtraining, muscle imbalance and altered foot biomechanics. Sudden increase in activity levels such as taking up a new sport can often lead to Achilles irritation.
In the early stages of Achilles tendonitis, there is typically a burning pain in the lower calf and heel region which gets worse with activity. There may not be any obvious heel swelling to start with but over time, the tendon starts to thicken, resulting in a lump on the heel of the foot.
The most obvious sign of Achilles tendonitis is thickening in the tendon which is often very tender to touch. Pain tends to be focused around the area of inflammation but may radiate to the calf and foot. A lump on the heel of the foot from Achilles tendonitis is often really painful first thing in the morning when you first get up but then slowly eases once you start moving around, unless you overdo things.
There are lots of things you can do to treat a lump on the heel of the foot from Achilles tendonitis and you can find out all about the causes, symptoms, diagnosis and treatment options in the Achilles Tendonitis Treatment article.
If you have lots of small lumps around the heel of your foot, particularly at the sides, chances are they are piezogenic papules.
Piezogenic papules are soft, skin-coloured bumps that affect people who spend long periods on their feet, or people with connective tissue disorders e.g. Ehlers-Danlos syndrome.
Piezogenic papules develop when fatty tissue herniates through the dermis (inner layer of the skin) into the connective tissue around the heel, resulting in small bumps on the heel of the foot.
They rarely cause any symptoms and are usually left untreated. Occasionally, piezogenic papules may press on nearby blood vessels or nerves in which case they can be treated with rest, orthotics, acupuncture, injections or occasionally surgery.
Find out more about this common cause of small heel lumps in the Piezogenic Papules section.
There are a few other less common causes of a lump on the heel of the foot:
Lumps and bumps can occur anywhere on the foot and you may also be interest in the following articles:
It is really important to get any new lump or swelling on the heel of your foot checked out by your doctor so that you can get an accurate diagnosis and access the right treatment.
In many cases, your doctor will be able to tell what is causing the lump on your heel by examining you and taking your history, but in some cases, they may want to send you for further tests or investigations such as an MRI or CT scan, a biopsy or an x-ray.
Treatment for a lump on the heel of the foot will depend on what is causing the bump but may typically include a combination of heel pain exercises, activity modification, orthotics, physical therapy, steroid injections or in rare instances, surgery.
You can find out more about the best treatments for different causes of foot heel lumps in the relevant sections for each condition:
The most common causes of a lump on the heel of the foot are Haglund’s Deformity, Heel Bursitis, Piezogenic Papules & Achilles Tendonitis.
A hard lump on the heel of the foot is usually from a bone spur.
A bone spur lump on the back of the heel is called a Haglund’s Deformity, whereas a hard bump under the heel of foot is called an inferior calcaneal spur.
A soft lump on the back of the heel may be due to heel bursitis or Achilles tendonitis.
A soft bump under the heel of the foot is usually due to a plantar fibroma, heel pad syndrome or plantar wart.
Bumps around the side of the heel are typically piezogenic papules or xanthomas.
Most foot heel lumps are nothing serious are can be treated at home - treatment will depend on the underlying cause of the lump on the heel of your foot including exercises for heel pain. Bumps can also develop in other parts of the foot - check out the Foot Lumps section to find out more.
You may also be interested in the following articles:
Page Last Updated: 10th November, 2025
Next Review Due: 10th November, 2027